ابتسامتك بتبدأ من هنا
مش بس بنهتم بأسنانك، بنهتم بسعادتك وراحتك وثقتك في ابتسامتك. نوفر رعاية متكاملة في طب الأسنان
في عيادتنا لا نهتم فقط بصحة أسنانك، بل نهتم أيضًا بسعادتك وراحتك وثقتك في ابتسامتك. نحرص على تقديم رعاية شاملة ومتكاملة في مجال طب الأسنان، مع استخدام أحدث التقنيات الطبية وأعلى معايير الجودة والتعقيم المعتمدة من منظمة الصحة العالمية (WHO). هدفنا هو أن نمنحك ابتسامة صحية ومشرقة تعكس ثقتك بنفسك وتضيف لراحتك اليومية
“نقدم لك مجموعة متكاملة من خدمات طب الأسنان بأعلى معايير الجودة.”

رعاية وقائية وعلاجية متخصصة لأسنان الأطفال في أجواء مريحة وآمنة لضمان ابتسامة صحية منذ الصغر.

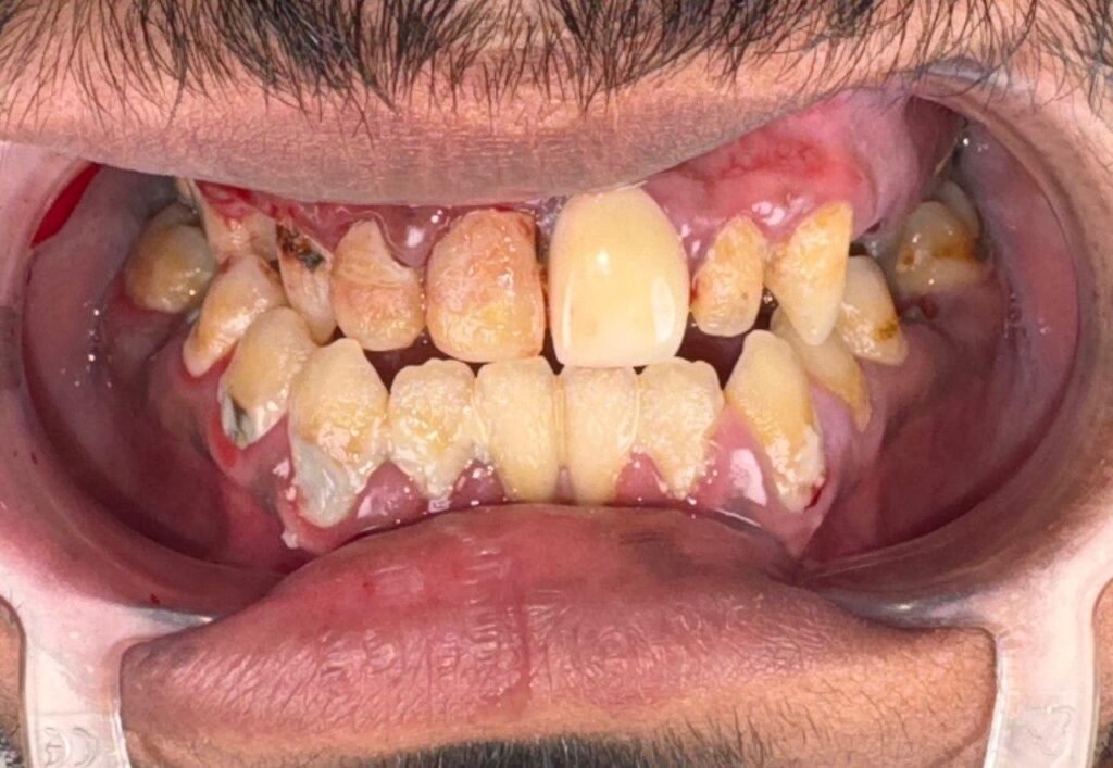
حلول متكاملة لتعويض الأسنان المفقودة أو التالفة عبر زراعة الأسنان أو التركيبات الثابتة والمتحركة لاستعادة ابتسامتك ووظيفتها.

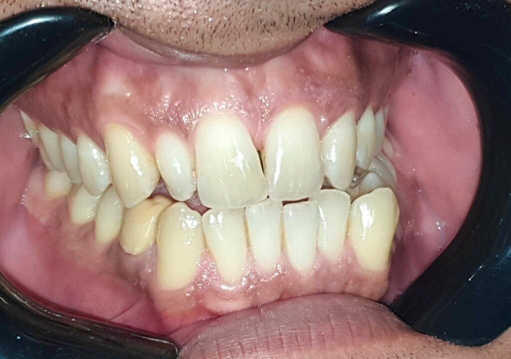
علاج متطور لعصب الأسنان مع أحدث تقنيات تقويم الأسنان لتصحيح الاعوجاج والحصول على ابتسامة صحية ومتناسقة.

حلول متكاملة لتعويض الأسنان المفقودة أو التالفة عبر زراعة الأسنان أو التركيبات الثابتة والمتحركة لاستعادة ابتسامتك ووظيفتها.
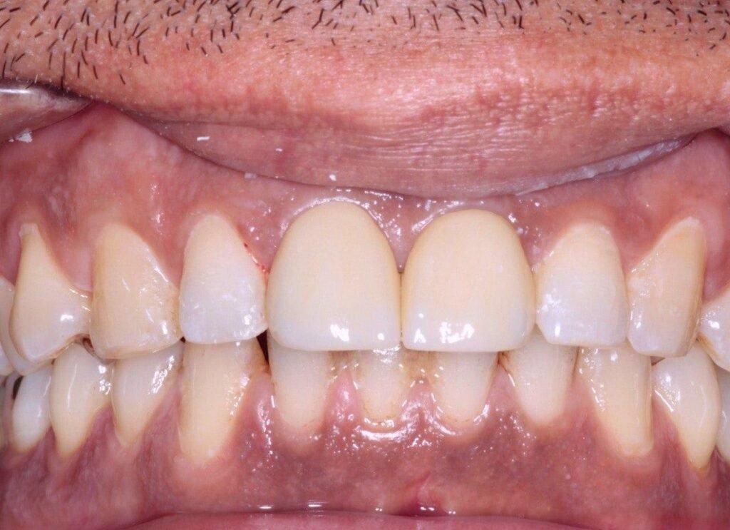
“جمال ابتسامتك يبدأ معنا، بأحدث تقنيات التجميل.”


فينيرز – لومينيرز – حشوات تجميلية
ثابتة ومتحركة
نمنحك ابتسامة أكثر إشراقًا بفضل تقنية تبييض الأسنان بالليزر
نقدّم علاجًا دقيقًا وفعّالًا لالتهابات عصب الأسنان
عيد التناسق الطبيعي بين اللثة والأسنان باستخدام تقنية الليزر الحديثة
تأسست العيادة لتقديم خدمات علاجية وتجميلية متكاملة بقيادة فريق طبي متخصص وباستخدام أحدث الأجهزة العالمية.
أن نكون الاختيار الأول لطب الأسنان التجميلي والعلاجي في مصر والشرق الأوسط.
توفير رعاية متميزة وفائقه تمنح مرضانا ابتسامة صحية وجذابة.
"أول مرة أزور عيادة بدون خوف، تعامل رائع واهتمام بكل التفاصيل."
"خدمة ممتازة وعيادة نظيفة جدًا، عملت تبييض بالليزر والنتيجة فوق التوقعات."
"الدكاترة محترفين جدًا وشرحوا لي كل خطوة قبل العلاج، زرعة الأسنان طلعت طبيعية كأنها سن حقيقي."
دلوقتي تقدر تحجز موعدك بسهولة وسرعة من خلال موقعنا الإلكتروني. اختار الخدمة اللي تناسبك، حدّد الوقت المناسب ليك، وفريقنا هيتواصل معاك لتأكيد الحجز. راحتك وابتسامتك أولويتنا، وحجزك معانا هو أول خطوة لابتسامة صحية وجذابة.
01040886362
011266005501
01011065930
Info@bykdental.com
فرع التجمع الخامس: مول cmc الطبى التسعين الشمالى -عياده (١٢٣)
فرع شيراتون: شارع خالد بن الوليد-النزهه سنتر – بجوار كنيسة الملاك ميخائيل وخلف مستشفى النزهه الدولى شقه (٤٠٨)